
Years Experience
Founded in 1988, Sunil Shahane Dental Clinic has long been recognized as the
best dental clinic in Dombivli East, known for its legacy of trust, compassion, and exceptional care. Established by the respected Dr. Sunil Shahane, the clinic quickly became a symbol of quality dental treatment in the community.
Dr. Shahane’s gentle demeanor and commitment to patient well-being earned him lasting admiration. Since his passing in 2016, his legacy has been lovingly carried forward by Dr. Pooja Ganu-Agnihotri, his niece and a skilled implantologist. Under her care, the clinic continues to thrive, ensuring that patients receive the same warmth and high standard of care it has always been known for.
As a seasoned implant specialist, Dr. Pooja brings expertise, empathy, and modern techniques to every procedure. Her mission is to make advanced dental care accessible and affordable, which is why the
best dental clinic in Dombivli East offers flexible payment options and patient-friendly pricing.
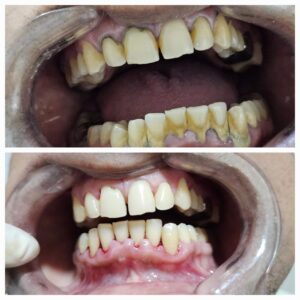
From cutting-edge dental implants to regular check-ups and preventive care, the clinic utilizes advanced technology and follows strict sterilization protocols to ensure safe and effective treatment. Our supportive staff listens attentively, explains every step of the process, and customizes your treatment plan to suit your unique needs.
At Sunil Shahane Dental Clinic, patients are treated like family. When you choose the best dental clinic in Dombivli East, you’re choosing compassionate, expert care that helps you achieve a healthier, brighter smile that lasts a lifetime.
We prioritize your comfort and satisfaction, offering flexible payment options and personalized treatment plans.
Our team is known for their calm and gentle demeanor, ensuring a comfortable experience for all patients.
We are committed to minimizing pain as soon as possible and ensuring that treatments are as painless as possible.
We utilize the latest dental technologies to ensure precise and effective treatments.
With decades of experience, our team is dedicated to providing the highest standard of care. We prioritize your comfort and satisfaction.












1, Hari Kunj, Ganesh Mandir Road, Near Nehru Maidan, Pendse Nagar, Dombivli East, Dombivli, Maharashtra 421201
| Mon - Sat: | 10:30 am - 2 pm |
| Mon - Sat: | 6 pm - 9 pm |
| Sunday by Appointment only | |

Copyright 2024 Dr. Shahane Dental Clinic... All Rights Reserved ...